族谱网 头条 人物百科

骨折

2017-10-16
出处:族谱网
作者:阿族小谱
浏览:402
转发:0
评论:0
骨折的种类开放的有无骨头对于感染是相当脆弱的,因此分类上开放的与否决定了骨头受到外部细菌感染的可能性。简单骨折(simplefracture):指骨折的部位并没有与人体外部接触,亦称为闭合性骨折,大部分采保守的外部固定治疗即可逐渐愈合。其受感染的机会很彽。复杂性骨折(compoundfracture):骨折的部位碰触到体外,亦称开放性骨折。因为接触到皮肤上和环境中的细菌,一般都需要抗生素治疗。骨折的形态大部分可因受力分别为直接外力或间接外力,而产生各式各样的骨折。横向骨折:骨折的横线与骨头的长轴相垂直。线性骨折:骨折的横线与骨头的长轴相平行。斜向骨折:骨折线与骨长轴呈斜角。螺旋骨折:因扭转性的外力所造成螺旋形的骨折线。压迫性骨折:与骨长轴方向平行的压力造成的骨折,最常见于脊椎骨。破裂骨折:压力造成数片碎裂的骨折型式。粉碎性骨折:骨折呈现多片细碎状。剥离性骨折:肌肉、肌腱连接着骨折碎片剥离骨...

骨折的种类

开放的有无

骨头对于感染是相当脆弱的,因此分类上开放的与否决定了骨头受到外部细菌感染的可能性。

简单骨折(simple fracture):指骨折的部位并没有与人体外部接触,亦称为闭合性骨折,大部分采保守的外部固定治疗即可逐渐愈合。其受感染的机会很彽。

复杂性骨折(compound fracture):骨折的部位碰触到体外,亦称开放性骨折。因为接触到皮肤上和环境中的细菌,一般都需要抗生素治疗。

骨折的形态

大部分可因受力分别为直接外力或间接外力,而产生各式各样的骨折。

横向骨折:骨折的横线与骨头的长轴相垂直。

线性骨折:骨折的横线与骨头的长轴相平行。

斜向骨折:骨折线与骨长轴呈斜角。

螺旋骨折:因扭转性的外力所造成螺旋形的骨折线。

压迫性骨折:与骨长轴方向平行的压力造成的骨折,最常见于脊椎骨。

破裂骨折:压力造成数片碎裂的骨折型式。

粉碎性骨折:骨折呈现多片细碎状。

剥离性骨折:肌肉、肌腱连接着骨折碎片剥离骨头母体。

龟裂骨折:仅出现龟裂裂缝之骨折。

脱臼骨折:骨折与脱臼同时发生,多在关节处。

特殊原因

另外有多特殊原因造成的骨折

疲劳性骨折:反复累积性的压力造成的骨折,原理类似金属疲劳,常见于健行、行军中跖骨骨折。

病理性骨折:因为内科疾病而非外力造成的骨折,如骨脓疡、癌细胞转移至骨头、骨先天形成不全、严重钙质流失等等原因。

症状及并发症

症状

骨头本身没有神经,但骨头外部的骨膜则有密集的神经,因此骨折时会有严重的疼痛。并可并发内出血、肿胀、和周围大神经、动静脉的压迫及损伤。

并发症

脊椎骨折因有可能伤及脊髓,而造成其支配区域的麻痹,颈椎骨折则可严重致死。四肢骨折常见的并发症则是造成周边神经血管的损伤。长骨中的脂肪于骨折中进入血液另可能造成肺部的脂肪栓塞。此外老年人骨折常因久卧而合并谵妄和肺炎等并发症。

治疗

骨折

固定法

骨折

固定法

骨折

固定法

简单骨折只需对骨折部实施整复牵引,再利用护木或石膏固定。而复杂性骨折则必须消毒、清创,投予抗生素。必要时还要进行开刀,待感染稳定控制后再实施固定。

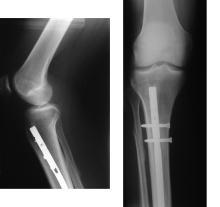
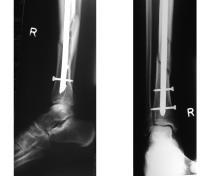
内固定:以手术的方式将金属骨钉钉合在骨折部。

外固定:从体外固定骨折部

特定年齢层的骨折

儿童骨折

青枝骨折(Greenstick fracture):小儿因骨头以软骨为主,富柔软性,因此常出现像青绿的树枝被折弯一样,较少有断裂而只有局部的挫伤和弯曲,因此被称为青枝骨折。

生长线损伤:因儿童骨头两端还在生长,有可能断裂在生长线上而影响发育。

老人骨折

老人因骨质疏松,易发生某些部位的骨折。

股骨颈部骨折

腰椎压迫性骨折

腕骨近端骨折

桡骨远端骨折

主要的骨折部位

头部・脊椎・躯干部骨折

颜面骨折

颅骨骨折

下颔骨骨折

上颔骨骨折

颈椎骨折

胸椎骨折

腰椎骨折

肋骨骨折

骨盆骨折

上肢骨折

锁骨骨折

腕骨骨折

桡骨骨折

尺骨骨折

舟状骨骨折

下肢骨折

股骨骨折

膑骨骨折

胫骨骨折

腓骨骨折

跟骨骨折

跖骨骨折

参见

骨头

韧带

脱臼

脊髓损伤

骨科

整形外科

外科

参考

Kenneth J Koval,M.D. Joseph D. Zuckerman, M.D.(2001)Handbook of Fractures(2nd ed.). ISBN 0-7817-3141-0


免责声明:以上内容版权归原作者所有,如有侵犯您的原创版权请告知,我们将尽快删除相关内容。感谢每一位辛勤著写的作者,感谢每一位的分享。

文章来源:内容词条
——— 没有了 ———
编辑:阿族小谱

更多文章

更多精彩文章
评论 {{commentTotal}} 文明上网理性发言,请遵守《新闻评论服务协议》
游客
发表评论
  • {{item.userName}} 举报

    {{item.content}}

    {{item.time}} {{item.replyListShow ? '收起' : '展开'}}评论 {{curReplyId == item.id ? '取消回复' : '回复'}}

    回复评论
加载更多评论
打赏作者
“感谢您的打赏,我会更努力的创作”
— 请选择您要打赏的金额 —
{{item.label}}
{{item.label}}
打赏成功!
“感谢您的打赏,我会更努力的创作”
返回
打赏
私信

推荐阅读

· 婴儿出生后颅骨骨折医院回应,古代骨折了怎么办?
近日,一对夫妻去医院生产,在接生过程中由顺转刨。新生儿出生后颅骨骨折,其父母质疑是医生接生过程中操作不当导致,双方正在等待第三方医疗机构鉴定。古代骨折了有什么方式可以治疗吗?跟着小谱一起来看看吧。在古代的诸多医学古籍中都能见到骨折的相关记载。《足臂十一脉灸经》记载了“折骨绝筋”(即闭合性骨折),《阴阳脉死候》记载了”折骨裂肤”(即开放性骨折),对筋骨损伤及开放性骨折已有一定认识,并记载了肩关节脱位和肱骨骨折的病案;《五十二病方》:载有52种病,共103个病名其中有"诸伤”"肝伤”“骨疽”“骨瘤”等骨伤科病症。图源网络在古籍中我们能了解到古代对骨折的病理的记载,在实践当中,各朝代也有许多具体的治疗方式。据医书记载,汉代以前,人们对骨折大多采取包扎固定的方法。秦汉之间,包扎材料多半用麻和丝织品。魏晋时期,骨折包扎方式有进一步的发展。医学家葛洪在《肘后救卒方》一书里,首次记载了用竹片固定骨折的疗...
· 如何治疗病理性骨折?
如何治疗病理性骨折?病理性骨折与外伤性骨折不同,临床上还有一种骨折,称为病理性骨折,其特点是在发生骨折以前,骨本身即已存在着影响其结构坚固性的内在因素,这些内在因素(如骨发育障碍、骨代谢性疾病、骨肿瘤等),使骨结构变得相对薄弱,在并不足以引起正常骨骼发生骨折的轻微外力作用下,即可造成骨折。病理性骨折的治疗取决于病因的诊断和对预后的估计,因而不同于外伤性骨折。外伤骨折的治疗目的明确,即达到功能的恢复。而对于病理性骨折的治疗,由于病因和预后的不同,在某些情况下可以达到功能恢复的目的,而在另外的情况下,治疗的目的可能仅仅是为了暂时地恢复部分功能,或者仅能够做到减轻病人的疼痛和便于护理。对骨转移性肿瘤所引起的骨折,可采用骨截除手术,并以髓内针固定来保持截除后两段骨干的连续,在骨缺损部位用骨胶或骨移植充填,以达到减轻症状并部分恢复肢体功能的目的。相对于局限的良性病变,可进行彻底的手术治疗,包括刮除植...
· 揭秦武王嬴荡死因:并非因举鼎骨折而死
《金陵晚报》年前刊出一文,题为《骨折竟能改变历史?《芈月传》中秦王死因引争议》,说嬴荡举鼎而力尽失手,鼎坠于地,将胫骨压断,嬴荡血流不止,半夜气绝而亡。文章还引用了某医生的说法,说小腿骨也就是胫骨骨折本身虽不会威胁生命,但并发症如出血、感染等却致命。百度百科在“举鼎绝膑”词条里说,嬴荡举鼎,折断膝盖骨而死。不管是小腿骨还是膝盖骨,总之嬴荡竟被骨折送了命!思来想去,疑点重重。先来看看《史记·秦本纪》对嬴荡死因的记载:“武王有力好戏,力士任鄙、乌获、孟说皆至大官,王与孟说举鼎,绝膑。八月,武王死。”嬴荡力大无穷,一次与孟说比试举鼎时,绝膑而亡。膑是什么?查《说文》并无“膑”字,“骨”部“髌”字下,段玉裁注云:“膑者,髌之俗,去膝头骨也。”“髌”是正字,“膑”是“髌”的俗字,髌指膝盖骨,绝膑也就是绝膝盖骨。断骨之外,裴骃《史记集解》引用晋末宋初徐广的说法认为此处“膑”字“一作脉”,并存了死亡的第...
· 揭秦武王嬴荡死因:并非因举鼎骨折而死
《金陵晚报》年前刊出一文,题为《骨折竟能改变历史?《芈月传》中秦王死因引争议》,说嬴荡举鼎而力尽失手,鼎坠于地,将胫骨压断,嬴荡血流不止,半夜气绝而亡。文章还引用了某医生的说法,说小腿骨也就是胫骨骨折本身虽不会威胁生命,但并发症如出血、感染等却致命。百度百科在“举鼎绝膑”词条里说,嬴荡举鼎,折断膝盖骨而死。不管是小腿骨还是膝盖骨,总之嬴荡竟被骨折送了命!思来想去,疑点重重。
· 茶文化―茶与健康―饮茶过量可能会导致骨折
上海健康教育协会昨天主持召开的研讨会上,与会专家提出,饮茶应该有一个度,过量饮茶会引发牙斑、骨刺等疾病,反而对健康不利。上海市营养学会副理事长蒋家琨教授介绍说,由于茶叶含有氟,经过毒理试验表明,过量饮用茶牙齿会出现凹凸不平的斑点,而且会发黄。在对骨质的毒理试验后也证实,含氟过多还会影响骨内部组织结构,从而容易引发骨刺、骨折等。长期泡饮浓茶,引发疾病的几率更大。此外,茶叶中的咖啡因还会引起大脑过度兴奋,不利睡眠。营养、美容专家都指出,适量饮用茶叶,确实能够提高人体脂肪分解酶的活性,抑制脂肪的产生,调节皮脂的含量,从而达到一定的减肥、美容效果,但过量后就会物极必反。经过临床反复验证,成人每天饮茶最佳的量应是每天2次冲泡,每次2克茶叶。

关于我们

关注族谱网 微信公众号,每日及时查看相关推荐,订阅互动等。

APP下载

下载族谱APP 微信公众号,每日及时查看
扫一扫添加客服微信