疟原虫
发现史
疟原虫的发现者是法国人查尔斯·路易士·阿冯斯·拉韦朗(Charles Louis Alphonse Laveran)。1880年,当他在阿尔及利亚担任外科医生时,注意到疟疾病人的红血球里有一种微生物存在,他坚信这个微生物(即疟原虫)就是引起疟疾的病原;这是首次发现原生动物会引起人类疾病。他因此发现及其他关于原生动物致病的研究获得1907年的诺贝尔生理学或医学奖。
英国内科医生罗纳德·罗斯爵士(Sir Ronald Ross,1857-1932),在1897年担任英国驻印度军医期间发现了寄生在疟蚊胃中的疟原虫。因为他发现了疟原虫的传染途径,他获得了1902年的诺贝尔生理学或医学奖。而发现疟蚊是唯一可传播疟原虫的蚊子的人是意大利动物学家格拉西(Giovanni Battista Grassi)[1]。
基本构造
疟原虫的基本构造和一般的原生生物一样,为细胞核、细胞质和细胞膜。环状体(trophozoite,主要发育期第一阶段)以后各期还含有疟原虫消化分解血红蛋白后的产物,疟色素(malarial pigment)。 使用姬姆萨染剂(Giemsa"s Stain)或瑞氏染剂(Wright"s stain)染色后,核呈紫红色,胞质为深蓝色,疟色素呈棕或黑褐色。这也是血液检验中检验疟原虫的方法之一。疟原虫寄生在红血球内时,会造成红血球变形。不同种类的疟原虫会使红血球呈现不同的形状(也是辨别疟原虫种类的重要方法之一)[2]:
被间日疟原虫寄生的红血球会变大,颜色变浅,后期出现微小的红色薛氏点(英语:Schüffner"s dots)(Schüffner"s dots)
被卵形疟原虫寄生的红血球会变大,颜色变浅,有明显粗大的红色薛氏点
被恶性疟原虫寄生的红血球会有粗大的紫褐色茂氏点(Maurer"s dots)
被三日疟原虫寄生的红血球会有微小红色的齐氏点(Ziemann"s dots)
生活史
疟原虫的生活史非常复杂。各种类的生活史基本相同,都需要人和疟蚊两个宿主。大体来说,在人体内疟原虫行无性生殖;在蚊子体内行有性生殖。
在人体内的发育
必须经过两个时期,在肝细胞内发育的红血球外期及在红血球内发育的红血球内期。
在人体中的三种型态
滋养体(trophozoite,或称活动体、营养体)
疟原虫进入红血球后的型态,主要的目的是生长及摄食。滋养体的疟原虫以血红蛋白为食;它们以半胱氨酸蛋白酶(plasmepsin enzymes)消化血红蛋白。滋养体早期细胞核小,细胞质少,虫体多呈环状,故又称之为“环状体”(ring form)。接着,随着虫体的成长细胞核增大,细胞质增多,有时还会伸出伪足,且细胞内开始出现疟色素。
裂殖体(schizont)
滋养体成熟后,疟原虫的细胞核开始不断的分裂。此阶段称为裂殖体。分裂到最后,细胞质也会分裂,每个核形成一个单独的小细胞,称为裂殖子(merozoite)。
配子体(gametocyte)
疟原虫经过数次裂殖体的阶段后,一部分的裂殖子会侵入红血球中发育。它们的细胞核不再分裂,反而增大;细胞质增多,步伸出伪足。最后会发育成为配子体。配子体的形状从圆形到新月形不等,且有雌雄之分。雌体较大,雄体较小。
红血球外期
红血球外期(exo-erythrocytic cycle),简称红外期,指的是疟原虫尚未进入红血球前的阶段
疟原虫的成熟孢子(sporozoite,或称芽孢)随雌疟蚊的叮咬进入人体的血液循环
在约30分钟内进入肝细胞,开始进行无性分裂生殖,并一边摄取肝细胞内的养分发育
疟原虫不断进行分裂生殖,最后产生红外期的裂殖体
被感染的肝细胞破裂,裂殖体释放出裂殖子
红血球内期
红血球内期(erythrocytic cycle),简称红内期,指的是疟原虫已进入红血球的阶段
被感染的肝细胞破裂后,裂殖子进入血液中
侵入红血球,形成滋养体,摄食吸收养分,生长发育,开始分裂生殖
不断分裂生殖,形成红内期的裂殖体
被感染红血球破裂,释放裂殖子
不断重复前述步骤,最后有部分裂殖子发育为雌雄配子体
在疟蚊体内的发育
疟蚊经由吸取病人或带原者血液,使血液中的各型态原虫进入蚊子体内;但只有配子体会继续发育
在蚊的胃内,雌、雄配子体发育成为雌、雄配子
较小的雄配子钻进较大的雌配子内,形成合子
合子会继续伸长,而且能动,称为动合子(ookinete)
动合子最后穿破胃壁,在胃的弹性纤维膜下形成圆球形的卵囊(oocyst)
卵囊中进行孢子繁殖(无性),接着破裂,释放出疟蚊虫的孢子
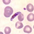
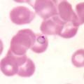
Plasmodium Falciparum的环状体
Plasmodium Falciparum的裂殖子
Plasmodium Falciparum的配子体
分类
目前纪录种约100余种。以下仅介绍较常见的种类:
宿主为人
恶性疟原虫(Plasmodium falciparum),又称热带疟原虫,恶性疟的病原
三日疟原虫(Plasmodium malariae),三日疟的病原
卵型疟原虫(Plasmodium ovale),或称蛋形疟原虫,卵形疟的病原
间日疟原虫(Plasmodium vivax),间日疟的病原
宿主为人以外的灵长类
巴西疟原虫(Plasmodium brasilianum)
食蟹猴疟原虫(Plasmodium cynomolgi)
诺氏疟原虫(Plasmodium knowlesi)
许氏疟原虫(Plasmodium schwetzi)
猿疟原虫(或称吼猴疟原虫,Plasmodium simium)
宿主为鼠
伯氏疟原虫(Plasmodium berghei)
夏氏疟原虫(Plasmodium chabaudi)
约氏疟原虫(Plasmodium yoelii)
宿主为鸟
鸡疟原虫(Plasmodium gallinaceum)
残疟原虫(Plasmodium relictum)
参照
疟疾
疟蚊
原生生物
免责声明:以上内容版权归原作者所有,如有侵犯您的原创版权请告知,我们将尽快删除相关内容。感谢每一位辛勤著写的作者,感谢每一位的分享。
相关资料
- 有价值
- 一般般
- 没价值
24小时热门
推荐阅读
知识互答
关于我们
APP下载

{{item.time}} {{item.replyListShow ? '收起' : '展开'}}评论 {{curReplyId == item.id ? '取消回复' : '回复'}}