结节病
症状和体征
结节病的症状和体征
结节病,作为一种全身性炎症性疾病,可影响任何器官。常见的症状较模糊,例如嗜睡、乏力、消瘦、疼痛、关节炎、眼部干燥、膝盖肿胀、视力模糊、呼吸困难、干咳或皮肤损伤。结节病和癌症的症状可能会比较类似以至于区别困难。 皮肤的症状各不相同,包括皮疹和结节性红斑的小结(小突起),或者冻疮样狼疮,它们经常无特殊症状。
当患者存在结节性红斑的结节,两侧肺门淋巴结肿大以及关节痛时,这种疾病被称为洛夫格伦综合征;它的预后较好。
肾、肝(包括门静脉高压)、心脏, 或脑组织的受累可能会导致进一步的症状和功能的改变。
肺
肺部病变是迄今为止最常见的结节病病理改变。约90%的患者在他们的患病过程中会出现X线异常。总体而言,约50%患者出现长期的肺部异常,5%至15%有肺实质进行性纤维化。肺结节病主要是肺间质的炎性改变,涉及到肺泡、小支气管和小血管。通常在急性和亚急性的情况检会听到肺部的干性啰音。
肝
尽管有60〜90%的患者肝活检显示肝脏发生病理改变,但肝功能的异常通常还没有临床应用价值。大约20%至30%的患者发生肝肿大和/或肝功能生化检测异常。通常情况下,这些变化反映了胆汁的淤积,包括碱性磷酸酶水平升高,胆红素和转氨酶轻度升高。一般而言发生黄疸是罕见的。
皮肤
25%的结节病患者累及到皮肤的病变。最常见的病变是结节性红斑、斑块、斑丘疹爆发、皮下结节、和狼疮性冻疮。一般而言没有治疗的必要,因为病变通常在两到四个星期内会自发地好转。尽管它可能会造成患者被毁容,但皮肤结节病很少引起大的问题。
心脏
虽然有20%〜30%的全身结节病患者会累及到心脏,但只有约5%的患者有症状。 心脏结节病病变的范围可以从无症状的传导异常到致命性的室性性心律失常。 心肌结节病是一种罕见的导致心源性猝死的原因。
眼
眼部的病变形式包括葡萄膜炎、葡萄膜腮腺炎和视网膜炎症,这可能会导致视力减退或失明。
前葡萄膜炎、耳下腺炎、第七颅神经麻痹与发热的组合症状,被称为眼葡萄膜腮腺发热。(D86.8)如今巩膜结节已经能够作为结节病被观察到了。
血液
临床患者血常规检测异常很常见,但往往不具有诊断价值。4-20%的结节病患者会继发贫血。多达40%的患者会发生白细胞减少症(由于外周血淋巴细胞循环受阻 或淋巴细胞数目减少),但很少有严重情况。在脾肿大的情况下,可能反映出有骨髓的受累,但最常见的机制是血液中的T-细胞重新分配的现象。 其他非特异性的改变,包括单核细胞增多症,多数发生在结节病患者中, <10%的患者中可见肝脏所产生的酶的量增高或碱性磷酸酶的增高、高钙尿症和高钙血症。
淋巴结
在结节病患者中,全身淋巴结肿大是很常见的。75%至90%的患者胸腔内的结节增生:常常累及到肺门淋巴结,还普遍累及到气管旁淋巴结。周围淋巴结肿大是很常见的,特别是累及到旁淋巴结(最常见的是宫颈头部和颈部所表现的疾病)、 腋窝淋巴结、肱骨内上踝的淋巴结、腹股沟淋巴结。触诊时不会引起疼痛。
神经系统
可以累及到神经系统的所有部分。影响大脑或神经组织的结节病被称为神经类结节病。约5%的患者会发生神经类病变。颅神经是主要被影响的对象,颅神经周围性面神经麻痹,通常为双侧性麻痹,是最常见的神经系统结节病的表现。 它发生迅速,持续短暂。其他常见的神经系统表现包括视神经功能障碍、视乳头水肿、味觉功能减退、听力异常、下丘脑和垂体异常、慢性脑膜炎和周围神经病变。 骨髓内结节病是罕见的,不到1%的情况下会涉及。通常情况下,肉芽肿对基础脑膜的牵连,会影响脑神经功能。髓内神经类结节病可能是脊髓病变的最初临床表现。
外分泌腺
腮腺肿大是结节病的典型特征,但是只有不到10%的患者会表现出与腮腺相关的临床症状。通常双侧腮腺受累。腺体通常无触痛,但质硬,平整。可以导致口腔干燥症,其他外分泌腺很少受到影响。
头皮
结节病表现为弥漫性或斑片状的头皮脱发。
病因
结节病的确切病因尚不清楚。目前比较流行的病因假设是:结节病是通过遗传所产生具有易感特性的个体,由于暴露在环境因素、职业因素或病原体因素所引起的细胞免疫功能和体液免疫功能参与的免疫反应。
遗传学
通过对遗传易感性的调查获取了许多可能导致疾病的候选基因,但只有少数人通过进一步的调查得到了充份的证实,大多数并没有被称为可靠的致病基因。目前,最令人感兴趣的候选基因是 BTNL2 ,少数几个 HLA-DR (HLA:英语 human leukocyte antigen 的简称)高危基因也正在研究中。 在持久性的结节病中,单倍型HLA HLA-B7-DR15 或许是共同作用导致疾病的发生亦或许是与这两个基因座之间的其中一个有关。在非持久性的结节病中,有很强的遗传因素参与 HLA DR3-DQ2 的联合。
同父母的兄弟姐妹当中只有中等程度的疾病的风险(危险比为5-6),表明遗传易感性只是扮演结节病的小角色。
传染性病原体
一些传染性病原体会导致人们患明显与结节病,但没有已知的机构或团体证明其有直接的致病作用。
痤疮丙酸杆菌可以在约70%的患者的支气管肺泡灌洗液中被发现,且与疾病的活动相关联:然而,23%的患者中该病原体已经被抑制。
最近的一项荟萃分析中,对结节病进行分析,发现26.4%的情况下存在着分枝杆菌的作用,但该荟萃分析也也有人对此提出异见,这样的结果还需要进一步确认。
维生素D调节障碍
结节病常会引起肾外维生素D的生成量增加。 肉芽肿内部的巨噬细胞把维生素D转换为活性形式,导致激素浓度升高与1,25-二羟维生素D增加的维生素Ð过多症,其中可能包括疲倦、精力不足、烦躁不安、口腔出现金属味、记忆力临时减退或认知障碍等症状,但生理的代偿反应(例如:减少甲状旁腺激素浓度)可以使得患者不至于发展成高钙血症。但是如果在怀孕期间,雌激素和催乳素浓度增高可能会加剧这种情况,导致高尿钙症和/或代偿性甲状旁腺功能减退。 高浓度的维生素D也会导致免疫系统功能障碍。
高催乳素血症
催乳素的频繁释放会导致结节病的发生,约32%的患者有高催乳素血症。 这往往会导致妇女的闭经、溢乳、非产褥期乳腺炎。
催乳素还对免疫系统具有广泛的影响,增加催乳激素浓度非正常水平可能会使许多自身免疫性疾病的症状加剧,在某些情况下已证明降催乳素药物治疗对结节病有效。
然而,这与结节病的发生并没有直接的联系,而且相比其他的一些自身免疫性疾病,结节病的性别比例差别并不十分明显。在怀孕期间,催乳素和雌激素对结节病患者来讲,在一定程度上相互抵消它们的影响,而且有轻微的趋势表明能够使肺结节病的症状得到改善,而系统性红斑狼疮,葡萄膜炎和关节痛可能会略有恶化。 红斑狼疮,葡萄膜炎和关节痛已知在某些情况下能够进行与之有关的催乳素水平增加和溴麦角环肽治疗,但到目前为止,还没有被证实其与结节病之间有何种联系。
增加催乳素浓度与患结节病的联系目前暂不清楚。催乳素已被证明在某些自身免疫性疾病的含量增加到足以影响由下丘脑的多巴胺能系统的反馈调节以促使T-淋巴细胞的产生。
垂体外催乳素被认为是类似炎症细胞因子的一类活动的细胞因子。催乳素抗体被认为是造成高催乳素血症的原因,认为其在自身免疫性疾病中发挥着重要作用,在结节病患者和高发病率的内分泌自身免疫性疾病中可以观察到催乳素抗体。 它也可能是肾脏疾病或类固醇治疗所造成的结果。神经系统结节病偶尔会引起垂体功能低下,但尚未有引起高泌乳素血症的病例的报导。
甲状腺疾病
在女性中,有着大量甲状腺疾病和结节病共同发生的报告。报告虽然缺少男性患者的标识,但仍然可以看到男性患者也有类似的情况。女性患者有甲状腺功能减退、甲状腺功能亢进和甲状腺自身免疫性疾病的风险性高,因此自身免疫性疾病出现在这一人群中,甲状腺疾病的发生机制显得尤为重要。 但另一方面来讲,甲状腺肉芽肿是很少见的。
自身免疫性
有关自身免疫性疾病经常在结节病患者身上被观察到。这种关系的确切机制暂时还不清楚,但一些研究证据表明,这是一个Th1淋巴细胞发生病变的结果。
乳糜泻往往伴随着酸中毒, 是一种与某种蛋白质链的条件性慢性反应,通常称这种蛋白为谷蛋白,因为往往在一些谷物中发现。该反应会导致小肠绒毛的破坏,从而导吸收性营养不良。
有一个与Ⅳ型超敏反应相关的描述 一个无害的迟发性皮肤超敏反应环境已经被运用来观测结节病发生的进展。
其他
芝加哥喜剧演员Bernie Mac患有结节病所并发的肺炎导致死亡,而他的免疫系统遭受破坏。 Reggie White,知名的前任美国足球联赛的球员,也被认为结节病在他的死亡中产生了重要作用。
病理生理学
肉芽肿性炎症的特点是由单核细胞、巨噬细胞和活化的T-淋巴细胞参与,与增生的关键性炎症介质、IFN-α、IFN-γ与白细胞介素12、Th1-分化的细胞反应(辅助性T淋巴细胞反应)有关。结节病有着自相矛盾炎症过程的影响:其特征在于能激活巨噬细胞和T辅助细胞(CD4 ),导致炎症反应加速,但免疫反应的抗原的具有反作用,如结核菌素被抑制。这种矛盾性作用不仅使反应活性增高而且同时也降低最后造成了一种无反应性( anergy )状态。无反应性也可能使感染和得癌症的风险增加。调节性T-淋巴细胞中的外周性结节病中肉芽肿的出现抑制了IL-2的分泌,有人猜想其通过阻止抗原特异性记忆反应所导致的无反应性。
肖曼小体中可以看到,在结节病中,钙和蛋白质的混合物成为朗汉斯巨细胞肉芽肿内部的一部分。
虽然TNF-α被广泛认为是对肉芽肿的形成发挥了重要作用,结节病仍可以被TNF-α受体拮抗剂依那西普的治疗所诱发。
淋巴结结节病
星状小体结节病
显微镜下显示出肺内结节病性肉芽肿,包含星状小体,使用HE染色
诊断
有关的特征性病变可以作为结节病的诊断依据。出现肺部症状的时候可以做包括X线、CT扫描、PET扫描、CT引导下穿刺活检、纵隔镜检查、开胸肺活检、支气管镜活检、支气管内超声和超声波内视镜活检、纵隔淋巴结结节病节点(EBUS FNA)等一些检查来确诊。淋巴结的活检组织都流式细胞仪检测,可以用来做癌症和特殊染色(抗酸菌染色和果莫里( Gömöri )六亚甲基四胺银染色),以排除微生物和真菌所造成的病变。血管紧张素Ⅰ转化酶的血药浓可以用来诊断和监测度结节病。
鉴别诊断包括转移性疾病、淋巴瘤、脓毒性栓子、类风湿结节、韦格纳肉芽肿病、水痘病毒感染、非典型感染等,如结核分枝杆菌复杂、巨细胞病毒和隐球菌。
结节病易与最常见的肿瘤性疾病混淆,如淋巴瘤;或与单核细胞肉芽肿性炎症过程混淆,如分枝杆菌和真菌疾病。
由于结节病的表现多种多样,医院就诊时可能涉及到许多器官的多种检查以确诊该疾病,所以这里只做个简单的介绍。
许多情况下,结节病会造成肺部的病变,包括肺容量的减少,顺应性(肺泡伸展的能力)的下降。因此,异常的X线表现,往往是结节病的首要发现。人们往往通过X线来做出初步诊断或者评估肺部病变的严重程度。
这种疾病通常能够使肺部的空气吸入受到阻滞,但会产生高于正常值的呼气流量比。肺活量(充分吸气后充分呼气的气体量)被降低,并且大部分空气可以在第一秒后被呼出。意思是指FEV 1 /FVC比值比正常值高,大约在80%至90%之间。肺部的阻滞性病变可以导致肺部气体容量的减少,当呼气时,可能会发生呼吸道受压后出现淋巴结肿大或由于内部炎症或结节使气体流通受到阻滞。
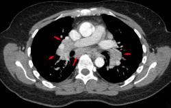
由于结节病,CT扫描呈现出纵隔淋巴结的肿大(箭头所示)
中华人民共和国的医学资料中将X线的改变分为五期,以Ⅰ期和Ⅱ期较为常见:
0 期:肺部X线检查阴性,肺部清晰无明显的病变。
Ⅰ期:两侧肺门和/或纵隔淋巴结肿大,右主支气管旁淋巴结常常伴有肿大,而肺内无明显异常。
Ⅱ期:肺门淋巴结的肿大,伴肺浸润影。
Ⅲ期:可见肺部浸润影,并无肺门淋巴结肿大。
Ⅳ期:肺内发生纤维化、肺大疱和肺囊肿等改变。
以上分类仅仅是相对而言的,并不能说明一定会有0期-Ⅳ期的病变,可以是跳跃式发展。CT扫描(尤其是HRCT)能够更准确地估计结节病的类型、肺间质的病变程度与淋巴结的肿大情况。
结节病经常还要做其他检查,比如心电图,以评估其他器官是否受累;与眼部检查,通常由眼科医生来完成;还有肝功能检查、肾功能检查、血清钙、24小时尿钙。一般而言血液检查无特异性变化,偶见血沉加快等;而在活动期可有淋巴细胞中度减少、血钙增高等。
在高加索人种中,肺门淋巴结肿大和结节性红斑结节病是最常见的初期症状。在这些人群中,腓肠肌肌肉活检是一个确诊是否患病的有效方法。兰卡斯特( noncaseating )上皮样肉芽肿在腓肠肌标本中是确诊结节病的关键,其他结核和真菌疾病呈现这种肌肉组织学检查结果是极为罕见的。
在女性患者中,结节病使甲状腺功能显著减退,或造成甲亢等甲状腺疾病,因此建议密切监测甲状腺功能。
分类
结节病可分为以下类型:
环状结节病
红皮病性结节病
鱼鳞病样结节病
色素减退性结节病
洛夫格伦综合征
冻疮样狼疮
morpheaform结节病
黏膜结节病
神经类结节病
丘疹性结节病
肾结节病(肉芽肿性肾炎)
瘢痕结节病
皮下结节病
系统性结节病
溃疡性结节病
治疗
30%至70%的患者不需要进行治疗便可自行缓解。 对于有肺部症状的患者所造成的呼吸功能障碍,除非是毁灭性损害,都可以经过两至三个月的治疗缓解,如果炎症不能够自行消退,再进行进一步治疗。 糖皮质激素治疗,例如泼尼松龙,已经成为治疗标准多年了。在一些患者中,这种治疗方法可以使疾病的症状缓解或好转,但仍有一些病人对这种治疗方法无效或者不能耐受其副作用反应。对于仅仅发生轻微病变的患者来讲,糖皮质激素的使用是有争议的,因为在许多情况下,这种疾病能够自行得到缓解。 此外,糖皮质激素有许多公认的与剂量和作用时间相关的副作用反应,因此其使用一般仅限于严重的、渐进的、或危及器官的疾病。皮质激素或其他免疫抑制剂的作用机制尚不明了。
对于症状严重的患者可以考虑使用其他的类固醇治疗,如甲氨喋定、硫唑嘌呤等。在极少数情况下,也使用环磷酰胺。 肉芽肿是由免疫系统细胞所引起的,尤其是T细胞的聚集,于是出现了一些成功使用免疫抑制剂治疗的案例,如在结节病早期使用白细胞介素-2抑制剂或抗肿瘤坏死因子-α治疗。 不幸的是,这些治疗方法并不十分可靠,并且有着显着的副作用,如使潜伏性结核重新激活的风险增加。 抗肿瘤坏死因子-α与依那西普治疗类风湿关节炎已被发现可以引起结节病的发生。
由于结节病可累及多个器官系统, 对于发生结节病的患者,应经常进行包括心电图、眼部、肝功能检查、血清钙、24小时尿钙的检查。
预后
病理图像显示出结节病蜂窝状改变:伴随突出的蜂窝中下叶使上肺纤维化和一些蜂窝状改变。蜂窝由囊状扩张气道瘢痕组织构成,类似蜂窝的形状。它是一种非特异性的多种类型构成的间质性肺疾病的终末期。
本病可自行缓解或转为慢性疾病、反复发作和经治疗后缓解。有报导称,在5年随访的病例中,34%的患者完全康复,30%的患者改善,20%基本不变,8%病情恶化,另有8%的患者因发生肺的广泛纤维化等原因而导致死亡。 也有报导称,大约有一半的患者能够在12-36个月内或者最多五年时间,在完全没有治疗或者经过治疗的情况下治愈。 当心脏受累时,预后较差。 结节病的患者患癌症的风险显着增加,尤其是肺癌、恶性淋巴瘤 和一些影响其他器官的结节病的其它类型癌症。 在结节病-淋巴瘤综合征中,结节病常导致淋巴组织增生疾病,如非霍奇金淋巴瘤。 原因可以归纳于结节病的发病过程中所发生的潜在免疫系统异常。 结节病也可以继发于癌症 或同时与癌症发生。 报道称毛细胞白血病、 急性骨髓性白血病 与急性粒细胞性白血病 都与结节病有关。
流行病学
结节病最常见的患者是青年人,男女比例相差不大,虽然有研究报道称女性患者较多。大部分患者患病年龄低于40岁,20至29岁年龄组的人群发病率最高,50岁以上女性中可见第二个患病高峰期。
世界各地的平均发病率:在每100,000男性中,约有16.5个患结节病,同样在每100,000女性中,约有19个女性患结节病。本病发病率最高的国家是北欧的瑞典和冰岛,每100,000人中约60人发病。在英国,每100,000人中约16人发病。 在美国,结节病发病率非洲裔人比白人高,年报告发病率在每100,000人,分别为35.5和10.9。 1971年的Edmonstone报告称黄种人中发病率约为16.8/10万人。在南美、西班牙、印度,加拿大和菲律宾,结节病是常见的一种疾病。乳糜泻经常伴随着结节病而发生。其与结节病的发生已被确定为有关联。
在世界各地,结节病有着不同的发病率,在世界的某些地区暂时还没有该病的病例数据,而且有些地方其他肉芽肿性疾病发病率超过结节病,对于结节病的诊断,普遍具有干扰性。 并且本病的严重程度不同种族的人之间的差异较大。多项研究数据显示拥有非洲血统的人患病情况可能会更严重,比高加索人,他们更容易患病。
种族和性别的不同,结节病的表现似乎略有不同。结节性红斑男性比女性更为常见,且在白种人中比其他种族的人群更为常见的。在日本,眼部、心脏的受累也比在其他种族中更为常见的。
结节病是非吸烟者中发病率较高的几个肺部疾病之一。
怀孕
结节病一般不会阻止怀孕和分娩:内源性雌激素在怀孕期间可能有一个对免疫调节有利的作用。在大多数情况下,这种疾病的发病过程中是不会影响怀孕的,在少数情况下该病会日益恶化,但在极少数的情况下也能够得到改善。
在包括结节病的自身免疫性疾病中,该病被列为发展成妊娠毒血症的一个重要的危险因素,也会导致第二和/或第三孕期的妊娠高血压并发症。妊娠毒血症是一个高风险的疾病,患者应该咨询一些专家以获取更多信息。
参见
皮肤病列表
免责声明:以上内容版权归原作者所有,如有侵犯您的原创版权请告知,我们将尽快删除相关内容。感谢每一位辛勤著写的作者,感谢每一位的分享。
- 有价值
- 一般般
- 没价值
24小时热门
推荐阅读
知识互答
关于我们
APP下载

{{item.time}} {{item.replyListShow ? '收起' : '展开'}}评论 {{curReplyId == item.id ? '取消回复' : '回复'}}